咨詢熱線
400-810-0881
新冠研究必備干貨 | SARS-CoV-2 編碼蛋白一網打盡
近日,北京的新發地出現多個新冠肺炎本土確診病例,讓逐漸平靜的國內疫情形勢再度緊張起來。
迄今為止尚未找到對抗 SARS-CoV-2 的特效辦法,藥物及疫苗的研發正在緊張的開展中,全面解析 SARS-CoV-2,解開蛋白密碼,是研發的重要前提。本文,我們大起底 SARS-CoV-2 編碼蛋白與 SARS-CoV 蛋白的同源性、分類及功能。
非結構蛋白與結構蛋白
SARS-CoV-2 是一種約 30kb 的陽性單鏈 RNA 病毒,其基因組組成與 SARS-CoV 相似,兩者都是由兩個主要的開放閱讀框(ORF)和幾個較小的下游 ORF 組成。
兩個主要的 ORF(ORF1a 和 ORF1b)編碼兩個多肽,被病毒編碼的蛋白酶切割后產生非結構蛋白(nsps)。ORF1a 編碼 440-500 kDa 多肽(pp1a),該多肽經過酶處理裂解成 11 個 nsps。ORF1b 編碼 740-810 kDa 的較大多肽(pp1ab),該多肽被切割為 16 個 nsps。

在 SARS-CoV-2 中已鑒定出四種主要的結構蛋白,包括刺突蛋白、核衣殼蛋白、膜蛋白和包膜蛋白,與 SARS-CoV 具有顯著的同源性。這四個結構蛋白由 ORF2-10 編碼,是病毒形成外殼和基因組衣殼化所必需的。與非結構蛋白相比,結構蛋白能引發更高水平的體液免疫和細胞免疫反應。

結構蛋白之刺突蛋白
SARS-CoV-2 的刺突蛋白是病毒表面的糖蛋白,由兩個主要功能結構域 S1(14-667 aa)和 S2(668-1255 aa)組成,分別介導與宿主細胞受體結合和膜融合。病毒的附著和進入宿主細胞取決于刺突蛋白的受體結合域(RBD:306-527aa)與特定細胞蛋白的相互作用。
研究表明,血管緊張素轉化酶 2(ACE-2)和蛋白酶 TMPRSS2 分別是 SARS-CoV-2 進入宿主細胞所需的細胞受體和蛋白酶。靶向 ACE-2 的抗體(中和抗體 AF933,21 Citations),有望成為治療新冠肺炎的有效方法之一。

蛋白酶 TMPRSS2 和/或 cathepsin L 在 S1-S2 連接處切割刺突蛋白,從而使病毒包膜與細胞膜融合,促使病毒 RNA 進入細胞。SARS-CoV-2 也可以被 furin 蛋白酶切割,其識別 S1-S2 連接處的四個氨基酸序列。除了在 S1-S2 連接處切割刺突蛋白外,細胞蛋白酶還可以剪切 S2 亞基,這對于刺突蛋白的激活和隨后的膜融合至關重要。
? SARS-CoV-2 與 SARS-CoV 的刺突蛋白序列比較如何?
SARS-CoV-2 的表面糖蛋白或刺突蛋白與 SARS-CoV 的刺突蛋白具有 76% 的序列同源性。Novus Biologicals? 提供了幾種用于檢測 SARS-CoV 刺突蛋白的抗體,這些抗體可用于 WB、ICC / IF、ELISA 等多種應用。根據Novus 的創新計劃,不妨試驗其中的抗體用于檢測 SARS-CoV-2。
用于檢測 SARS-CoV 的刺突蛋白抗體:


結構蛋白之核衣殼蛋白
核衣殼蛋白(419 aa)位于 SARS-CoV-2 病毒顆粒的核心,并與病毒 RNA 相互作用。在病毒組裝過程中,核衣殼蛋白在包裝病毒 RNA 基因組中發揮著核心作用。SARS-CoV 核衣殼蛋白還參與其他功能,例如調節宿主的細胞過程,包括細胞周期失調、抑制 IFN 產生和誘導促炎因子(例如 COX-2)產生等。
? SARS-CoV-2 與 SARS-CoV 之間的核衣殼蛋白序列比較如何?
SARS-CoV-2 與 SARS-CoV 的核衣殼蛋白具有 91% 的序列同源性。Novus Biologicals? 提供了幾種用于檢測 SARS-CoV 核衣殼蛋白的抗體,這些抗體可用于 WB、ICC / IF、ELISA 等多種應用。
用于檢測 SARS-CoV 核衣殼蛋白的抗體:


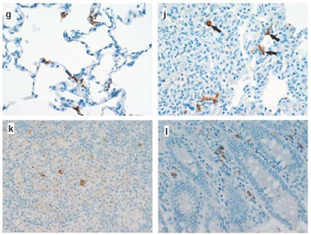
最近美國國立衛生研究院的一項研究成功建立了 SARS-CoV-2 感染的恒河猴動物模型,并利用兔多克隆抗 SARS-CoV 核衣殼抗體(貨號 NB100-56576)成功檢測了 SARS-CoV-2 病毒在感染組織中的存在。

感染 SARS-CoV-2 的恒河猴的病理變化。通過免疫組化檢測以下細胞/組織中的 SARS-CoV-2 核衣殼抗原:(g)Ⅰ 型肺泡細胞;(j)Ⅰ 型肺泡細胞,Ⅱ 型肺泡細胞及肺泡巨噬細胞;(k)縱隔淋巴結和(l)盲腸固有層中的巨噬細胞和淋巴細胞。圖片由 bioRxiv March 21, 2020// doi. org/ 10. 1101/ 2020. 03. 21. 001628 一文 Figure 4 修改。
最新 SARS-CoV-2 重組刺突蛋白及核衣殼蛋白:

結構蛋白之膜蛋白和包膜蛋白
膜蛋白(222 aa)和包膜蛋白(75 aa)是在病毒包裝中發揮作用的整合蛋白。眾所周知,SARS-CoV 的膜蛋白能使 SARS 患者產生中和抗體,而包膜蛋白介導 SARS-CoV 的毒力,并扮演離子通道的角色。
? SARS-CoV-2 與 SARS-CoV 的膜蛋白和包膜蛋白序列比較如何?
SARS-CoV-2 與 SARS-CoV 的膜蛋白具有 91% 的序列同源性,包膜蛋白具有 95% 的序列同源性。Novus Biologicals? 提供了幾種用于檢測 SARS-CoV 內膜蛋白和包膜蛋白的抗體,這些抗體可用于 WB、ICC / IF、ELISA 等多種應用。
用于檢測 SARS-CoV 的內膜蛋白和包膜蛋白抗體:

非結構蛋白大揭秘
非結構蛋白(nsps)在病毒復制周期中發揮不同的功能,編碼的 nsps(1-16)共同形成蛋白復制酶-轉錄酶復合物。


? SARS-CoV nsp5 和 nsp13 蛋白的抗體
SARS-CoV-2 與 SARS-CoV 的 nsp5 具有 96% 序列同源性,nsp13 具有 99% 的序列同一性。Novus Biologicals? 提供了針對 nsp5(NBP1-78110)和 nsp13(nbp2-89168)蛋白的兔多克隆抗體,這些抗體可用于 WB、ICC / IF、ELISA 等多種應用。


感染 6 小時后的 Vero-E6 細胞中,使用抗 SARS-CoV nsp13 兔多克隆抗體(NBP2-89168)進行免疫熒光顯微鏡檢查。
附件下載:
京公網安備11010502040370號
技術支持:青云軟件